
- 企业资讯 实时共享
- 在这里,正丽科技向您展示最新最全的企业动态
2019年11月26日,正丽科技隐形正畸学术研讨会 — “技术驱动·万有隐力”在北京凯宾斯基饭店开封厅成功举办,本次会议邀请了北京大学口腔医院贾培增副教授、北京大学口腔医院姜若萍主任医师、北京协和医院王琪副教授、原北京大学国际医院王小芳副主任医师、八二口腔医学中心王睿主任五位专家出席,现场120多位正畸医师前来参会,和专家们一起探讨隐形正畸技术!
专家分享 - 隐形正畸的那些事
贾培增副教授
贾培增副教授阐述了从固定矫治到隐形矫治的思想转化。提出不论是固定矫治还是隐形矫治,首先需要医生有正畸基础及正畸临床经验,才能更好的对病例实施把控;其次详细讲解了相关扩弓难点的处理方式,骨性和牙性错颌畸形的临床判断,不同牙齿不同移动方式对附件的需求,正确的把握牙齿施力方向,设计病例时精确的间隙分析等知识要点;同时提出了解牙齿排列的生物学边界及对口内、面相、X光片做出分析,正确得到诊断是决定病例成功重要的因素;还建议隐形矫治在设计时需要适当增加过矫治,才能让矫治力更好的表达,最终获得实现医生和患者想要的目的。
王小芳副主任医师
王小芳副主任医师从隐形矫治诊断、方案设计、治疗计划三个方面展开做了详细的分析,并且提出需要运用隐形正畸特有的力学特点,以及支抗设计才能够达到临床需求,并对高角病例的支抗设计也进行了详细的阐述,同时给出在隐形矫治中前牙控根设计的一些技巧分享,重申了隐形矫治技术是一种矫正理念,而不仅仅是一种透明牙套,表明要根据不同类型的患者以及不同矫治器的优势,扬长避短地选择更适合的正畸方案。
姜若萍主任医师
姜若萍主任医师对方案设计需要注意的问题做出了详细的分析,如:隐形矫治器移动牙齿的特点及效率、个性化定制的优势,同时强烈建议医生进行口扫技术,能更快更精准地进行数据转化。姜主任分别对扭转牙的控制,深覆颌前牙垂直向的控制,以及磨牙远中的三类案例,分别从附件设计的要点,移动步骤的优化,患者的依从性三个方面进行了设计技巧和经验的分享。比如:扭转牙可以使用颊舌侧的附件以及链状皮圈牵引;前牙的压低可以分步压低;磨牙远移案例可以根据患者的实际情况安排早期的前牙移动,让患者提高依从性。
王睿主任
王睿主任根据多年的临床经验,对散在间隙、深覆颌、推磨牙、拔牙的常见问题与把控做了由理论到实践的详细阐述,并且强调了不同案例诊断的重要性,同时对不同案例可能会出现的临床表现进行了个案的分析。例如:散在间隙治疗中在内收间隙中可能会出现一些特殊的状况,如何运用临床经验去应对;拥挤案例在明确诊断的情况下,我们对移动顺序如何优化才能提高实现度;深覆颌前牙压低的量以及推磨牙远移中远移的量决定了支抗设计的需求;拔牙病例的病例难度选择及设计要求由简到繁、逐步深入。
王琪副教授
王琪副教授就有关节病疑难的隐形案例进行了治疗前后的分析,并提出了“隐形矫治–功能与美并重”的理念,同时对多年来颞下颌关节与牙颌学的研究结果进行了分享。结合临床正畸治疗的特殊性,说明正畸不仅要从美观的角度去进行设计,还要确保患者良好的一个功能和关节的健康。王教授提出首先我们要全面了解患者的信息,在此基础上才能做出正确的诊断,这是设计病例的一个基础。同时,也要对治疗过程中可能出现的风险进行预估,并做好术前沟通,这样我们才能把功能与美并重的设计理念融入到我们的3D动画中,并设计出更具个性化的设计方案。
五位专家的精彩演讲,为到场的正畸医师们献上了一场关于隐形正畸技术的饕餮盛宴,现场学术气氛浓郁,大家专心致志,认真笔记或用手机记录精彩内容。
技术驱动 - 病例管理平台和开放设计端口
正丽科技的"技术驱动"包含很多方面,比如:我们的生产制造、材料工艺、医学设计、软件研发等等,在研讨会现场,正丽科技向正畸医师们重点展示了医学设计和软件研发方面的优势,我们的优势不止能力更有服务,能力是深度,服务是态度。
医学设计方面,正丽科技有一支资深的团队在负责正畸病例的设计,他们是由有口腔背景的设计师、有临床经验的正畸医生、有从业十余年甚至二十余年的正畸专家组成,他们不但能够娴熟地针对普通病例进行设计,而且有足够的能力和经验针对复杂病例进行设计。同时,他们返回给合作医生的设计方案无论在速度还是质量上都超过行业平均水平。
软件研发方面,正丽科技的开发工程师和算法工程师绝大多数有硕士以上学历,部分还有海归背景。正丽科技的研发团队不断对软件进行优化和升级。
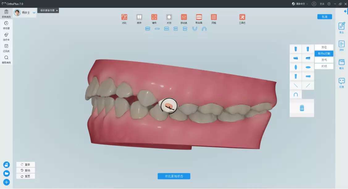
OrthoPlus就是正丽科技自主研发的病例管理平台,医生可以通过OrthoPlus将病例资料提交给正丽的医学设计团队,双方在OrthoPlus上就病例设计进行实时地双向沟通,通过不断优化和升级,在OrthoPlus上实现了更多新的功能,比如:三维模型的真实感渲染、咬合深度及位置的直观数据显示、一键语言切换、智能分析偏好提供个性化矫治方案。我们目前实现一键切换的语言包括中文、英文、日文,通过线上沟通,我们收到了很多来自海外市场的正面反馈,根据反馈内容,我们对自身产品竞争力的信心也越来越强。
正丽科技从来没有停下前进的脚步,为了提高临床医生和正丽医学中心的沟通效率,让临床医生可以自由地表达他的构思和想法,和正丽科技医学团队进行深度和更广范围的互动,共同编辑,提升矫治方案的设计质量。经过潜心研究,正丽科技在近期将开放设计端口,我们来看一下开放设计端口都实现了哪些主要功能:
· 为每个设计方案提供“方案备注”功能,临床医生可以将方案设计的意见发送给正丽医学团队。
· 当临床医生编辑设计方案时,OrthoPlus将自动记录临床医生的操作。
· 通过牙齿3D控制轴调整牙齿,并且可以通过撤销操作来恢复到上一步操作,重做下一步操作或者重置牙齿初始位置等。
· 可以拖动附件或者切割到牙齿的表面,可以通过附件控制轴来调整附件的位置。
· 调整片切量功能,可以在治疗方案上设置和调整片切量操作。
· 调整牙弓曲线功能,可以对方案进行扩弓或者缩弓操作。
· “历史意见”功能将保留临床医生填写的所有历史意见,便于临床医生追溯设计方案历史。
万有隐力 - 生物力学研究平台
顾名思义,“生物力学”就是生物+力学,口腔正畸学是所有医学学科中与力的关系最密切的学科,缺少力的作用,口腔正畸便无从谈起,这也是正丽科技持续五年不懈投入生物力学研究的原因,我们希望可以研发出更多、更好的隐形矫治器和附件,来帮助广大医生提升正畸效率,优化正畸效果。正所谓,工欲善其事,必先利其器。我们正在与国内外知名院校的专家教授合作,攻克正畸难题。同时,我们还在筹建自己的实体研究室来满足日常实验研究的需求。
正丽科技MagicForce生物力学研究平台其研究范围覆盖材料力学、塑性力学、结构力学、弹性力学等;研究步骤分为理论分析、实验研究、仿真计算和临床验证;核心价值旨在建立正畸力的预测模型,对正畸力进行参数化表达,并对正畸力的作用效果进行分析。
经过大量研究和反复验证,MagicForce对矫治器膜片和附件在矫治过程中的力学表现建立了一整套完善的测量分析体系,并且产出了一批拥有自主知识产权的创新型矫治器和附件设计。
现场详细介绍了我们的一项正多边形附件专利——MagicMS,我们的正多边形特指五条边以上,以正五边形和正六边形为主。利用正多边形附件独有的特性来添加预设力,通过预设力的设置和调整更精准的优化控制牙齿的移动。我们这里的“预设力”是指当下并不发生,只在特定情况下才会被触发的力。同时,预设力的力度大小可以根据矫治器的变形量来调节和控制,确保优化效果,使矫治方案的容错率更高。
隐形正畸新品 - Smyletec瑞速齐
本次研讨会的产品主角是我们的Smyletec瑞速齐。
2019年正丽科技与士卓曼集团进行战略合作,推出新款隐形矫治器Smyletec瑞速齐,并赋予隐形矫治器全新内涵:“由医生创造,为医生制造”,为牙科医生及其患者提供隐形矫治先进的技术和服务,同时也希望通过学术的合作,共同推动中国正畸事业的发展。
与其他隐形矫治器相比,新款矫治器Smyletec瑞速齐优势显著:
· 采用智能软件,能够分析医生偏好,并结合既往病例提供个性化治疗方案;
· 创新功能体现在咬合深度及位置直观数据显示,可选三维移动方式;
· 通过专业医生设计后台,真正实现一对一即时在线服务;
· 采用进口专业高分子材料,自动化生产流程,人工质检环节,确保精益品质。
新款隐形矫治器Smyletec瑞速齐能够为患者提供高质、先进、便捷、经济的隐形矫治解决方案。
正丽科技 - 未来可期
在本次研讨会上,正丽科技向正畸医师们充分展示了在医学设计、软件研发和生物力学研究等方面的强大实力,让大家对正丽科技所研发和生产的产品无论在品质还是售后服务上都充满了信心,可持续的技术研发和创新为未来的合作奠定了夯实的基础。